Ecocolordoppler Napoli Dr. Demtrio Guarnaccia
Ecocolordoppler Napoli
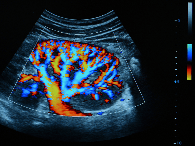
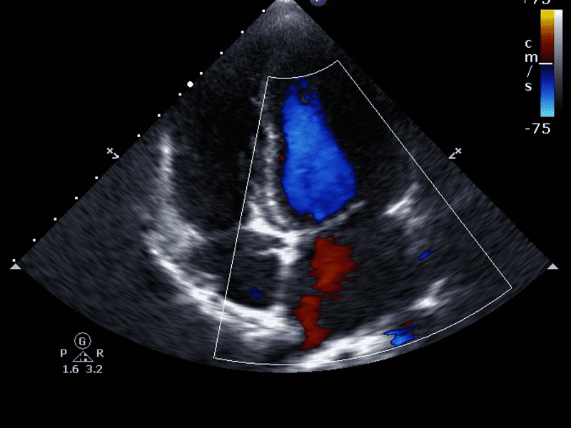
L’ecocolordoppler Napoli è un esame diagnostico non invasivo che utilizza gli ultrasuoni per visualizzare i vasi sanguigni (arterie e vene) e studiare il flusso del sangue al loro interno.
Come funziona:
- Ecografia:
- Utilizza onde sonore ad alta frequenza per creare immagini degli organi e dei tessuti interni.
- Doppler:
- Sfrutta l’effetto Doppler per misurare la velocità  e la direzione del flusso sanguigno.
- Il colore viene utilizzato per rappresentare la direzione del flusso (rosso per il flusso verso la sonda, blu per il flusso lontano).
A cosa serve:
L’ecocolordoppler Napoli è un esame molto utile per diagnosticare diverse patologie vascolari, tra cui:
- Aterosclerosi (restringimento delle arterie)
- Trombosi venosa profonda (coaguli di sangue nelle vene profonde)
- Aneurismi (dilatazioni anomale delle arterie)
- Insufficienza venosa (difficoltà  delle vene a riportare il sangue al cuore)
- Valutazione dei vasi sanguigni del collo (tronchi sovraortici) per il rischio di ictus.
- Valutazione dei vasi sanguigni addominali e renali.
- Valutazione delle arterie e delle vene degli arti inferiori e superiori.
- Fenomeno di Raynaud.
Come si svolge:
L’esame è indolore e non invasivo:
- Il paziente viene fatto sdraiare su un lettino.
- Il medico applica un gel sulla pelle per favorire la trasmissione degli ultrasuoni.
- Il medico fa scorrere una sonda (trasduttore) sulla zona da esaminare.
- L’esame di ecocolordoppler dura circa venti minuti.
Ecocolordoppler Napoli Dr. Demetrio Guarnaccia
Vantaggi:
- Non invasivo
- Indolore
- Sicuro (non utilizza radiazioni ionizzanti)
- Ripetibile
- Fornisce informazioni dettagliate sul flusso sanguigno
Preparazione:



