artereopatia Dr. Demetrio Guarnaccia
Artereopatia
L’arteriopatia napoli è una condizione che coinvolge il restringimento o il blocco delle arterie, che può compromettere il flusso sanguigno e causare gravi complicazioni.
Il Dr. Demetrio Guarnaccia, chirurgo vascolare esperto, offre trattamenti avanzati per l’arteriopatia napoli, mirando a ripristinare una corretta circolazione e prevenire le complicazioni.
Artereopatia Napoli Dr. Demetrio Guarnaccia
Le opzioni terapeutiche includono Artereopatia napoli:
- Trattamenti farmacologici: Utilizzo di farmaci per dilatare le arterie, migliorare la circolazione e ridurre il rischio di trombosi.
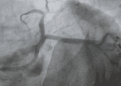
- Angioplastica: Un intervento minimamente invasivo per dilatare le arterie ristrette, ripristinando il flusso sanguigno.
- Bypass arterioso: Nei casi più gravi, un intervento chirurgico per creare una nuova via per il flusso sanguigno, bypassando le arterie ostruite.
- Modifiche dello stile di vita: Gestione del peso, attività  fisica regolare, dieta sana e controllo dei fattori di rischio come il fumo, l’ipertensione e il colesterolo alto.
La diagnosi precoce e un trattamento tempestivo sono fondamentali per prevenire danni irreversibili e migliorare la qualità  della vita. Se sospetti di avere arteriopatia napoli, il Dr. Demetrio Guarnaccia può offrirti una valutazione accurata e un piano terapeutico personalizzato per la tua situazione.

